
孙先生20多天前无明显诱因下始出现腰痛,活动更甚,2天后腰痛缓解,痛及双膝关节,后渐发展至双肘关节,腕关节及双踝关节,呈游走性,疼痛关节活动不利,无明显晨僵现象,时直背痛,颈部疼痛,弯腰活动受限...[详细]
自患风湿以来,黄阿姨一直是在社区门诊买药,按摩治疗,因此,多年来,病情反复不见好。最近一段时间特别严重,双腿关节肿大,臀部到脚踝处疼痛难忍,不能行走,在社区服务中心工作人员的推荐下,来到我院接...[详细]
入院后,王怀庆主任马上为小吴安排了检查,症状:手关节肿胀、疼痛,早上有6分钟晨僵,膝关节肿胀,下蹲困难,行走时疼痛。X光检查结果:双膝关节未见脱位,关节间隙狭窄,关节面光滑,关节囊肿胀。化验:AS...[详细]
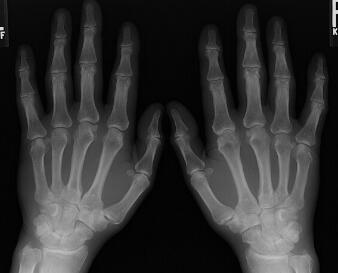
王怀庆主任为刘先生做了详细的检查。在经过认真查体后发现,刘先生双手指远端指间关节海伯登结节,关节僵硬,握拳无力。双膝肿胀Ⅲ°,皮温高,浮髌试验(+),屈100°伸-20°。...[详细]
来到我院后,王怀庆主任再初步掌握胡女士的情况后,为她安排了进一步的检查。检查结果:血常规呈小细胞低色素性贫血;血沉140mm/h,C-反应蛋白22.3ng/ml;血钙2.13mmol/l,血镁1.66mmol/l,血磷正常,碱性磷酸...[详细]