
到院后,接诊医生王怀庆主任通过问询杨大爷的情况了解病史,然后运综合检查系统对其病情进行了详细检查。综合患者病史和检查结果,王怀庆主任为杨大爷制定了一套针对性的治疗方案。...[详细]
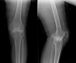
来院后,由王怀庆主任接诊,随后便为她做了详细的检查。X线示:双膝关节边缘及髌骨底呈唇样改变,相应关节面不光整;膝关节间隙呈内窄外宽。确诊:风湿性关节炎。王怀庆主任根据刘女士的病情和身体状况,为其...[详细]
我院风湿专病科室的王怀庆主任接诊了李先生。检查:膝关节、踝关节僵硬、变形。确诊:风湿性关节炎,王怀庆主任为他制定了详细的治疗方案进行施治。...[详细]
治疗前:当时袁女士已经是手指、手腕、膝关节疼痛及略微肿胀,抬腿费力。接待袁女士的是郑州痛风风湿病医院风湿专病科室的王怀庆主任。...[详细]
林女士来到我院的时候,手指关节已经明显肿大,随即,王怀庆主任就为林女士做了详细的体查,症状:四肢关节肿大疼痛,不能穿衣梳头,行走艰难,变天时更严重。...[详细]