
刘先生3年前开始出现脚趾关节疼痛,开始时疼痛持续一周之后就消失了,三个月过后,刘先生疼痛突然发作,发作时疼得无法下地行走。,刘先生马上去到医院检查,医生告诉他是痛风,需要住院接受治疗,然后他只...[详细]
王怀庆主任为他做了一个详细的检查:间断性第1跖趾关节疼痛2年,双足跖趾肿痛,左足第1跖趾关节疼痛加重,双肘肿痛,右肘可见0.5cm大小肿块,双腕、双手、双膝也呈不同程度肿痛现象,夜间疼痛最重,患者不能...[详细]
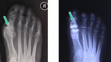
刘先生到郑州痛风风湿病医院就诊,王怀庆发现刘宇的检查报告显示:刘先生血尿酸629mol/l,高于临床上的正常标准。而且还发现到刘先生大脚趾处肿痛明显,脚跖趾关节红肿,压痛。浮髌试验阳性。针对于刘先生的...[详细]
因长期开长途车,章先生经常感觉到腰酸背痛。一次突如其来的疼痛将章先生折磨得脸色煞白,上衣已经被汗水浸湿,后被送到到当地的诊所就诊,确诊为强直性脊柱炎。经过多次治疗无效后来到我院接受治疗。...[详细]
周先生在夜间执勤时不慎遭不明盗窃团伙实施犯罪遭殴打,伤到后腰,一星期后发展为腰部剧烈疼痛,坐立、行走都很困难。经综合医院确诊为强直性脊柱炎,经多方推荐,周先生来到我院接受治疗。...[详细]